Atlas of Surgical Techniques in Periodontics. Chapter II. Atlas de Técnicas Quirúrgicas en Periodoncia

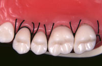
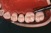
SUTURA DE COLCHONERO HORIZONTAL

Las suturas de colchonero horizontal pueden combinarse con las suturas suspendidas continuas o independientes.

image 176
image 177
image 178
image 179
image 180
image 181
image 182
image 183
image 184
image 185
image 186
image 187