Atlas of Surgical Techniques in Periodontics. Chapter II. Atlas de Técnicas Quirúrgicas en Periodoncia

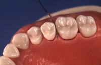
SUTURA DE COLCHONERO HORIZONTAL

Una variante de las suturas suspendidas continuas son las suturas de colchonero horizontal se emplean para las zonas posteriores en los colgajos palatinos para conseguir una mayor tracción de la zona media del paladar cuando se levantan amplios colgajos.

image 164
image 165
image 166
image 167
image 168
image 169
image 170
image 171