Atlas of Surgical Techniques in Periodontics. Chapter II. Atlas de Técnicas Quirúrgicas en Periodoncia

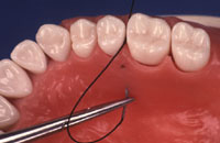
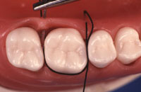
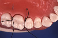
SUTURA DE COLCHONERO VERTICAL

La sutura en colchonero vertical tiene el mismo propósito que la anterior: adaptar colgajos en una posición más apical que desarrollen tensión

Permite una mejor adaptación de la papila interdentaria

image 189
image 190
image 191
image 192
image 193
image 194
image 195
image 196