Atlas of Surgical Techniques in Periodontics. Chapter IV.

CASOS CLINICOS

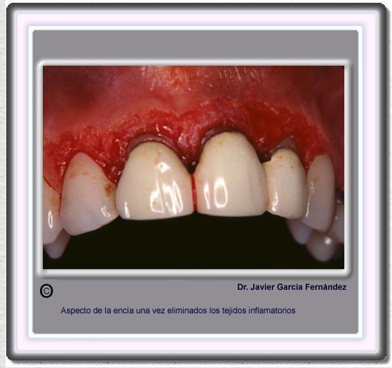
image 67