|

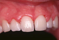
Enfermo varón con
hipertrofia gingival
|

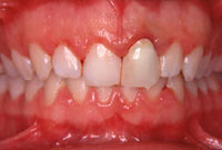
Paciente con hipertrofia
gingival
|

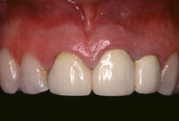
Paciente con hipertrofia
gingival
|
|

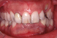
Paciente con prótesis
mal ajustada en el sextante II e hipertrofia gingival
|

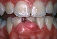
Paciente con un
grueso fibroma
|

Paciente con hiperplasia
gingival
|
|

Enfermo con hipertrofia
gingival y aparato de ortodoncia
|

Paciente con hiperpigmentación
de las encías
|

Paciente con hiperplasia
gingival y enfermedad periodontal establecida
|