Atlas of Surgical Techniques in Periodontics. Chapter III.

Atlas de Técnicas Quirúrgicas en Periodoncia

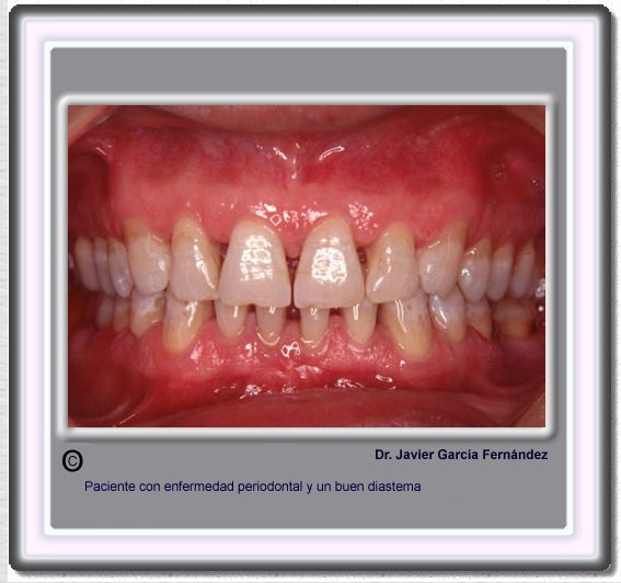
image 547