Atlas of Surgical Techniques in Periodontics. Chapter III.

Atlas de Técnicas Quirúrgicas en Periodoncia

CASOS CLINICOS

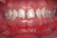
Paciente con enfermedad periodontal y un buen diastema

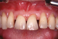
Enfermo al que se practicó una variante de la PPT para intentar reconstruir una papila

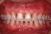
Varon joven con un buen diastema adecuado para una PPT

Varon joven con un buen diastema adecuado para una PPT

Joven mujer que muestra una importante pérdida ósea. En un lado se llevó a cabo la PPT y un levantamiento de papila en el otro lado

Paciente que muestra una lesión que lo hace candidato a una relleno óseo. En este caso, se practicó la técnica de la PPT para desbridar y poner hueso al descubierto pero sin utilizar membrana

 

Paciente diabético con enfermedad periodontal en ambos sectores, inferior y superior