La Edad Crítica de la Mujer

PIEL Y VAGINA

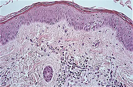
Piel normal
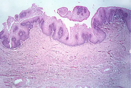
Una capa de c�lulas keratinizadas cubre la epidermis. Obs�rvese la similitud entre el espesor del epitelio de la vagina (abajo) y la epidermis (arriba)

Epitelio vaginal

Volver a la p�gina anterior