La Edad Crítica de la Mujer

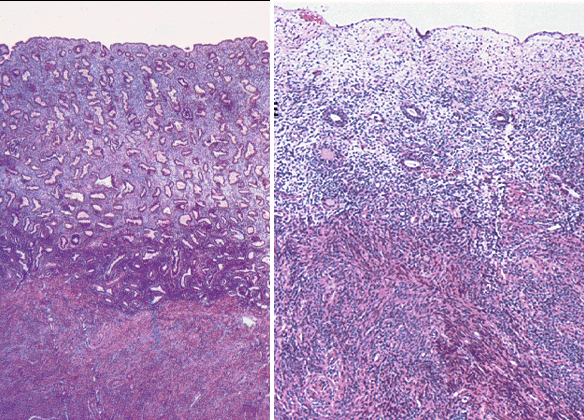
ENDOMETRIO

A la izquierda, endometrio en fase de secreci�n al comienzo del ciclo de una mujer joven. A la derecha, endometrio de una mujer postmenop�usica.