PREVENCI�N Y DIAGN�STICO
Hay muchos
tipos de enfermedades de las enc�as, las m�s comunes son la gingivitis y la
periodontitis. Todas tiene en com�n la destrucci�n progresiva de los tejidos que deben
soportar los dientes.
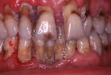
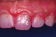
La gingivitis, es la inflamaci�n superficial de las enc�as causada por irritantes de las bacterias presentes en la boca (placa dental o bacteriana), y es com�n en todas las edades, incluyendo en escolares.
La
periodontitis, que normalmente se denomina "piorrea" (en griego "flujo de
pus"), incluye la inflamaci�n cr�nica y destrucci�n del hueso que soporta los
dientes. Tambi�n, las fibras gingivales y el ligamento periodontal son destruidos y el
borde de las enc�as se desprende de los dientes, formando lo que se llama una bolsa
periodontal en la cual puede aparecer pus. La bolsa periodontal se agranda si el hueso es
destruido m�s severamente y, en consecuencia, los dientes "se aflojan". Al
avanzar la enfermedad los dientes se pueden mover a�n m�s y es frecuente que se forme un
absceso e incluso que se caigan.
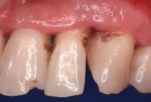
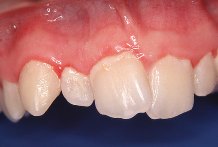
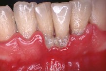
Las enc�as que
sangran con frecuencia, lo que se conoce como el famoso "cepillo rosado", es la
se�al m�s com�n que indica que uno padece enfermedades de las enc�as.
Desafortunadamente muchas personas aceptan la situaci�n como normal, debido a que el
desarrollo de la enfermedad es lento y que las enc�as sangrantes causan poco dolor.
Hay muchos casos de enfermedades periodontales en donde, sin embargo, las enc�as no sangran. Por esta raz�n quiz�s no se presta atenci�n a la enfermedad hasta que est� en una fase avanzada y entonces el tratamiento requerido para su curaci�n ser� largo.
Otros
s�ntomas:
Estas se�ales, sin embargo, no aparecen hasta que la enfermedad alcanza un estado avanzado. Por este motivo las personas adultas deben preguntar al dentista si alguna de las se�ales que presentan las enfermedades de las enc�as est�n presentes y, en su caso, solicitar un examen periodontal.
El dentista o el periodoncista est�n
capacitados para juzgar el color y la forma de las enc�as, para determinar la presencia
de dientes flojos, y para utilizar instrumentos peque�os que se introducen cuidadosamente
debajo de las enc�as para conocer la profundidad de las bolsas periodontales. A esta
clase de examen se le llama sondeo periodontal y tiene que formar parte de todo examen
dental.
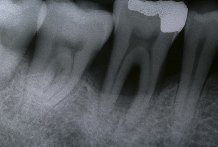
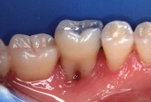
Las radiograf�as son necesarias para detectar, en caso de hayan ocurrido, lugares con p�rdida de hueso.

La causa m�s com�n es la placa bacteriana. Est�
formada por una capa pegajosa, casi invisible, que se acumula sobre la superficie de los
dientes cada d�a. La placa proviene de la saliva, de los restos de comida, del fluido que
sale del borde de la enc�a y de varios tipos de bacterias y sus productos. Con frecuencia
la placa bacteriana se endurece (calcifica) convirti�ndose en t�rtaro (lo que los
dentistas llaman c�lculo).
La placa es m�s abundante cerca de los bordes de
la enc�a y entre los dientes. En las personas que no mantienen una buena higiene bucal,
la mayor�a de las superficies dentales est�n cubiertas por una capa bacteriana. Casi
todos los adultos y ni�os tienen placa y c�lculo. La placa se compone en su mayor�a de
bacterias, sales minerales y agua. En el proceso de su formaci�n en capas, el c�lculo se
recubre sucesivamente con placa y con bacterias ocasionando la inflamaci�n de la enc�a
como consecuencia de la acci�n bacteriana y de las defensas del cuerpo para combatirla.
Factores que influyen en la enfermedad son: Predisposici�n hereditaria, falta de equilibrio hormonal, por ejemplo, diabetes, embarazo y funcionamiento defectuoso del tiroides.
Dichos factores pueden empeorar la condici�n gingival por interferir con el sistema inmuno-defensivo del cuerpo.
Es muy
importante saber c�mo limpiarse los dientes con la m�xima eficacia. El verdadero peligro
lo representa la invisible acumulaci�n de bacterias que crecen sobre y alrededor de los
dientes, o sea, la placa. Afortunadamente la placa bacteriana se puede ver aplicando unas
pastillas colorantes en la boca. Dichas pastillas ti�en la placa, no dejando ninguna duda
sobre su presencia y posici�n.
El dentista y la higienista dental deben establecer un programa de higiene bucal para cada individuo. Tal programa debe incluir instrucci�n sobre c�mo cepillarse de un modo apropiado para no perjudicar ni a los dientes ni a las enc�as. El uso de la seda o cinta dental es la forma m�s adecuada para eliminar la placa bacteriana de entre los dientes que es un lugar dif�cil de alcanzar. Son en estos lugares donde se forman m�s com�nmente las bolsas periodontales. Por tal motivo, y para evitar su formaci�n, merece la pena dominar la t�cnica de usar la seda dental aunque sea necesario emplear m�s tiempo en la higiene bucal.
El uso del cepillo interdental y los aparatos que irrigan agua a presi�n pueden suplementar las t�cnicas de higiene en �reas que son dif�ciles de alcanzar con otros m�todos. Aunque estos irrigadores no remueven la placa, pueden, sin embargo, remover los restos de comida que pueden favorecer la formaci�n de placa.
La higiene bucal diaria puede reducir a un m�nimo la formaci�n de la placa bacteriana y c�lculo. Por medio de la higiene bucal no se puede eliminar el c�lculo ya formado y adherido al diente que aparece en los bordes o por debajo de la enc�a. S�lo un dentista o una higienista pueden remover el c�lculo. Dicha t�cnica se llama raspaje y se realiza con instrumentos especiales.