
|
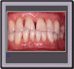
enfermedad periodontal en un diabético |
MANIFESTACIONES
PERIODONTALES DE LA DIABETES MELLITUS
Diabetes no controlada Se han observado los siguientes síntomas en la mucosa oral de diabéticos con un pobre control de su enfermedad:
|
|
Sin embargo los cambios más importantes en la diabetes no controlada son los relacionados con la reducción de los mecanismos de defensa y el aumento de la susceptibilidad a las infecciones que ocasionan la destrucción del tejido periodontal. No se observan los síntomas anteriores en los pacientes controlados con dieta, insulina o antidiabéticos orales. La respuesta tisular es normal y no hay una mayor incidencia de caries ni de enfermedad periodontal en comparación con los sujetos normales (1) Microbiología Los estudios microbiológicos realizados en pacientes diabéticos apuntan a un flora alterada en las bolsas periodontales. Se ha descrito en los pacientes con diabetes mellitus de tipo 1 una flora compuesta principalmente por Capnocytophaga, vibrios anareobios y especies de Actinomyces. Otros estudios (2) por el contrario han encontrado un número limitado de Capnocytophaga y abundantes A. actinomycetemcomitans y Bacteriodes pigmentadas, asi como P. intermedia, Prevotella melanogenica y Campylobacter rectus. (3) En los indios Pima, que tienen una alta prevalencia de diabetes de tipo 2 se han encontrado abundantes P. gingivalis, P. intermedia y C. rectus. Se desconoce el papel exacto de estos microrganismos en la enfermedad periodontal del diabético. La mayor parte de los estudios clínicos controlados muestran una mayor prevalencia y severidad de la enfermedad periodontal en los pacientes diabéticos en comparación con la población normal (4), (5). Sin embargo, no siempre se ha encontrado una clara correlación entre el estado diabético y la condición periodontal (6) En la diabetes insulino-dependiente, los primeros síntomas de la periodontis suelen aparecer a partir de los 12 años. La prevalencia de la enfermedad entre los pacientes de 13 a 18 años es del 9.8% (7), aumentando hasta el 39% a partir de los 19 años. Otros autores (8) han observado un índice de destrucción periodontal en los diabéticos similar al de los sujetos normales hasta la edad de 30 años. A partir de esta edad, la enfermedad periodontal es más acusada en los diabéticos. La amplia literatura que existe sobre los cambios periodontales que tienen lugar en los diabéticos y la impresión general de los clínicos es que la enfermedad periodontal no se ajusta a unas normas definidas. En diabéticos bien controlados con una higiene bucal pobre, la incidencia de bolsas periodontales, inflamaciòn y pérdida ósea puede ser mayor que en un diabético mal controlado pero con una buena higine. Puede concluirse que la diabetes no origina gingivitis o bolsas periodontales, pero puede alterar la respuesta de los tejidos periodontales a los agentes irritantes haciendolos más sensibles y retrasado la cicatrizaciòn del tejido periodontal. Una de estas consecuencias es que los diabéticos presentan una mayor incidencia de abscesos periodontales. |
|