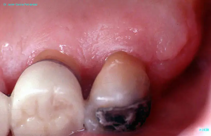
Atlas of Surgical Techniques in Periodontics. Chapter IV. Atlas de Técnicas Quirúrgica en Periodoncia

image 152