Atlas of Surgical Techniques in Periodontics. Chapter IV.

CASOS CLINICOS

Paciente con un fibroma en la región retromolar

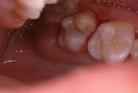
Paciente sometido a exodoncia del cordal y cuña distal

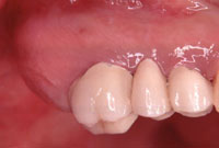
Enfermo con inflamación aguda prótesis

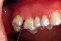
Enfermo con bolsas periodontales en la región retromolar

 

Enfermo con bolsas periodontales en la región retromolar