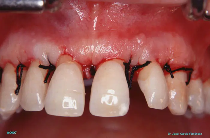
Atlas of Surgical Techniques in Periodontics. Chapter III. Atlas de Técnicas Quirúrgicas en Periodoncia
image281