Atlas of Surgical Techniques in Periodontics. Chapter III.

CASOS CLINICOS

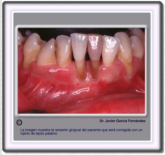
image 717