Atlas of Surgical Techniques in Periodontics. Chapter III.

Atlas de Técnicas Quirúrgicas en Periodoncia


Paciente con recesión gingival

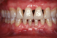
Paciente al que se le practicó una PPT en la parte superior y un CRAEP en la parte inferior

Paciente con grandes bolsas periodontales

Paciente al que se le practicó una PPT en la parte superior y un CRAEP en la parte inferior

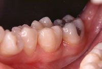
Paciente al que se practicó un CRAEP de un lado y un CRAET del otro lado

Paciente con enfermedad periodontal