Atlas of Surgical Techniques in Periodontics. Chapter III. Atlas de Técnicas Quirúrgicas en Periodoncia

CASOS CLINICOS

Joven enferma con enfermedad periodontal moderada

Enfermo al que se practicó un WIDMAN en el sector superior y un CRAET en el inferior

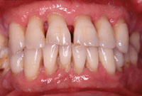
Enfermo varón con importantes bolsas periodontales en el sector inferior

Paciente al que se practicó un CRAET en sector inferior