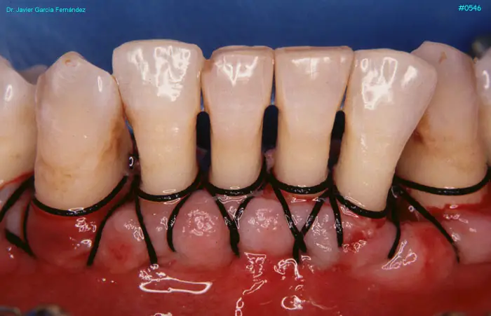
Atlas of Surgical Techniques in Periodontics. Chapter II. Atlas de Técnicas Quirúrgicas en Periodoncia
image174