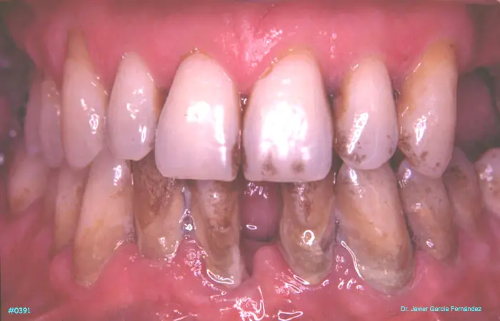
ATLAS DE CIRUGIA PERIODONTAL
 

image391

Subir un nivelMapa de esta Web. El mejor sitio para comenzar