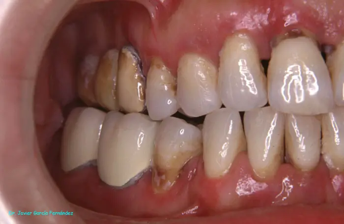
Atlas of Surgical Techniques in Periodontics. Chapter I. Diagnostic of Peridontal Diseases. Classification. Atlas de Técnicas Quirúrgicas en Periodoncia. Cap. I. Exploración y Diagnóstico. Atlas de Técnicas Quirúrgicas en Periodoncia
image146