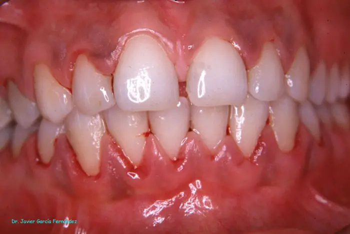
Atlas of Surgical Techniques in Periodontics. Chapter I. Diagnostic of Peridontal Diseases. Classification. Atlas de Técnicas Quirúrgicas en Periodoncia. Cap. I. Classification.
image071