Atlas of Surgical Techniques in Periodontics. Chapter I. Diagnostic of Peridontal Diseases. Classification. Atlas de Técnicas Quirúrgicas en Periodoncia. Cap. I. Exploración y Diagnóstico.
 
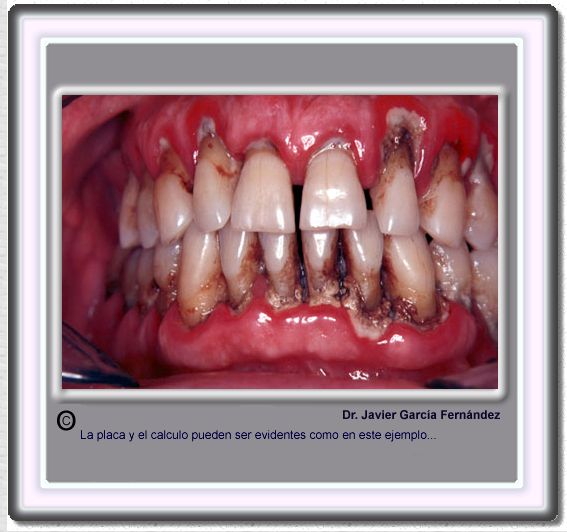
image312
Subir un nivelMapa de esta Web. El mejor sitio para comenzar