Atlas of Surgical Techniques in Periodontics. Chapter I. Diagnostic of Peridontal Diseases. Classification. Atlas de Técnicas Quirúrgicas en Periodoncia. Cap. I. Classification.
Clasificación de la enfermedad periodontal

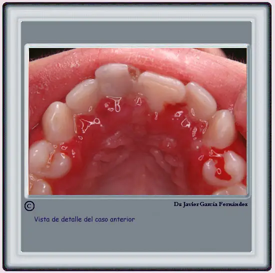
GINGIVOESTOMATITIS HERPÉTICA
Página anterior image94 Página siguiente
Subir un nivelMapa de esta Web. El mejor sitio para comenzar