ATLAS DE NEUROLOGIA

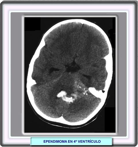
NEUROONCOLOGIA: EPENDIMOMA

Los ependimomas intracraneales son típicamente isodensos en la TC con un mínimo resaltado cuando se administra un contraste.

Aproximadamente en el 50% de los casos pueden observarse calcificaciones. La formación es quistes es relativamente frecuente en estos tumores así como una extensión de los mismos a la fosa posterior a ravés de los forámenes de Luschka y Magendie.