ATLAS DE NEUROLOGIA

NEUROONCOLOGIA: EPENDIMOMA

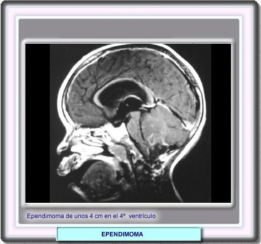
Imagen sagital después de la administración i.v. de un contraste mostrando una masa de unos 4 cm en al cuarto ventrículo. Tanto la resonancia como la TC son suficientes para el diagnóstico

Los ependimomas son el tercer tipo de tumor cerebral más común en los niños y suponen un 15% de los cánceres de la fosa posterior. Por regla general, los tumores emergen de las células del epéndimo que tapizan el cuarto ventrículo. Usualmente, el tumor se expande a través del foramen de Magendie y el agujero de Luschka. A menudo, estos tumores están calcificados y pueden presentar un amplio componente cístico.

Los pacientes se presentan con naúsea, vomitos, cefalea y ataxia.

La supervivencia es del 50% aproximadamente, si bien los epidimomas supratentoriales tienen una peor prognosis.