ENFERMEDAD DE PRINKLE

ESCLEROSIS TUBEROSA

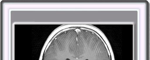
En un 50% de los casos, las lesiones subependimales y subcorticales van acompañadas de astrocitomas de células gigantes que se localizan frecuentemente en las proximidades del foramen de Monro, produciendo hidrocéfalo obstructivo.