ENFERMEDAD DE PRINKLE

ESCLEROSIS TUBEROSA

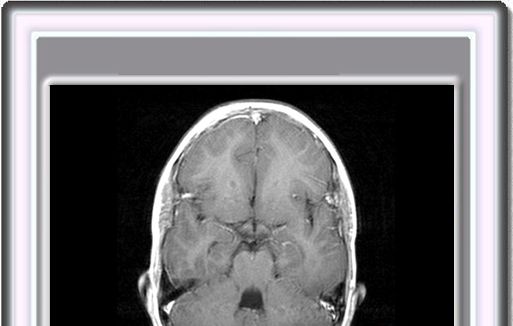
En las imágenes de RM en T1 se observan múltiples pequeños nódulos hiperintensos a lo largo del subepéndimo de las paredes ventriculares laterales. Estos nódulos son hipointensos en las imágenes en T2

Suelen en la región subcortical de ambos hemosferios cerebrales múltiples hipointensas lesiones en T1 que pasan a ser hiperintensas en T2