ATLAS DE NEUROLOGIA

PINEOCITOMA

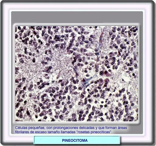
Los pineocitomas se caracterizan por células pequeñas, con procesos que forman áreas fibrilares que se revelan mediante técnicas de impregnación con plata específicas para axones. Son las llamadas rosetas pineocíticas.

Algunos investigadores opinan que estas rosetas son caracteristicas de la maduración y diferenciación de los pineocitomas en general y no necesariamente una expresión de la diferenciación neuronal