ATLAS DE NEUROLOGIA

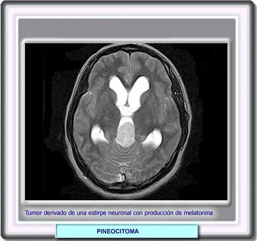
PINEOCITOMA

Los tumores de la glándula pineal pueden ser de varios tipos:

los que derivan de las verdaderas células pineales productoras de melatonina, que de acuerdo con su grado de diferenciación, se pueden clasificarse como pineocitomas y pineoblastomas (más malignos). Ambos tipos de tumores dan positiva las reacciones inmunoquimicas a la proteína S, la sinaptofisina y a la NSE.

Tumores de tipo glial como los astrocitomas y glioblastomas

Tumores derivados de células germinales (disgerminomas, carcicomas embrionarios, etc)

Tumores derivados del mesénquima como los meningiomas

Quistes de varios tipos

Heteropias de tejido nervioso