ATLAS DE NEUROLOGIA

NEUROCITOMA

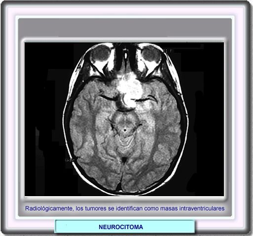
Los síntomas clínicos usualmente están relacionados con el aumento de la presión intracraneal (cefaleas, papiledema o alteraciones visuales como diplopía). Más raramente, se observan alteraciones mentales, signos piramidales, disfunción hormonal o convulsiones.

Estos tumores son relativamente benignos y con su completa resección la curación es posible. En el caso de resecciones incompletas se ha recurrido a la radioterapia, pero su efectividad en evitar las recurrencias no ha sido demostrada