ATLAS DE NEUROLOGIA

NEUROCITOMA

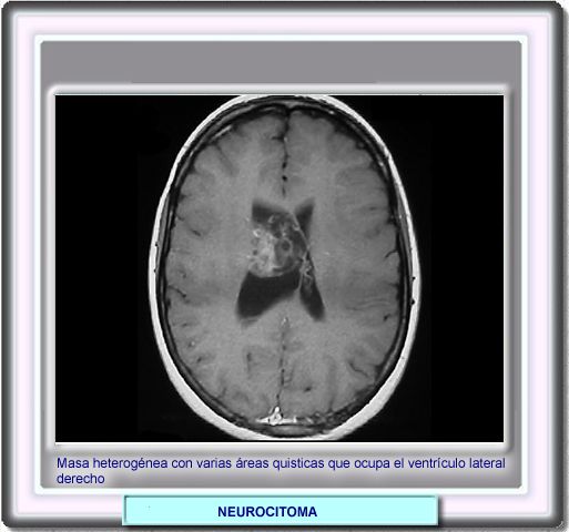
Radiológicamente, los tumores se identifican como masas intraventriculares, a veces de gran tamaño. Las tomografías permiten identificar las calcificaciones, mientras que las RMs muestran masas isointensas con la corteza o con una señal elevada en las imágenes en T1 y T2.

La administración de un medio de contraste suele provocar un resalte homogéneo, si bien si existen áreas quísticas o calcificadas, el resalte puede ser más heterogéneo.