

|
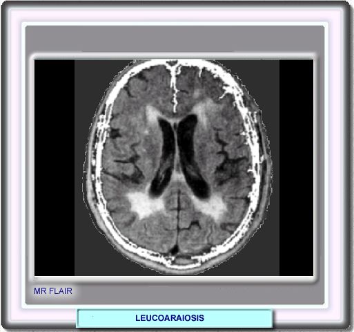
LEUCOARAIOSIS
|

Mientras que en la TC la leucoaraisosis se muestra como una hipodensidad localizada en la sustancia blanca periventricular y de los centros semiovales, en la RM en secuencias de densidad protónica, T2 y FLAIR (fluid-attenuated inversion recovery) se muestra como lesiones hiperintensas
La leucoaraiosis aumenta con la edad, inckuso en sujetos neurológicamente sanos. la insuficiencia del riego cerebral, la isquemia, y la disregulación de la presión arterial son procesos que inducen la formación de leucoaraosis. Otras condiciones que inducen o que se presentan con leucoaraiosis son lasalteraciones de la circulación del líquido cefalorraquídeo, la enfermedad de A Alzheimer, la demencia vascular, y la CADASIL (arteriopatia cerebral autosómica dominante con infartos subcorticales y leucoencefalopatía.
En las autopsias, se han encontrado asociados a la leucoaraiosis, colagenesis venosa periventrticular, degeneración perivascular, infartos lacunares y gliosis
Ver imagen en T1
ver imagen en T2
Ver imagen en RM FLAIR
Pulsar para ver los distintos
tipos de RM
Pulsar y arrastrar para leer el
texto
|
|