ATLAS DE NEUROLOGIA

SINDROME DE HALLERVORDEN-SPATZ [ICD-10: E78.3]

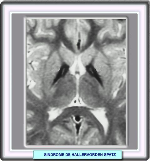
La Resonancia Nuclear Magnética (RNM) que en las etapas precoces es normal, posteriormente puede revelar una alteración característica. Consiste en una reducción marcada en la intensidad en T2 en ambos globus pallidus concordante con el depósito de hierro, con un área de señal incrementada en su parte central o ánteromedial debida a la necrosis. Este aspecto de sendos núcleos hipointensos en la profundidad de los hemisferios cerebrales conservando la zona central hiperintensa, ha sido llamado "signo del ojo de tigre".

No existe tratamiento específico para el síndrome de Hallervorden-Spatz, y los intentos para eliminar el exceso de depósito de hierro desde el cerebro con medidas de quelación del hierro sistémico usando desferrioxamina no han tenido efecto ni han cambiado el curso clínico.

Dentro del tratamiento sintomático, la terapia con levodopa/carbidopa para la distonía a menudo es efectiva transitoriamente. Cuando es inefectiva, la bromocriptina sola o en combinación puede ser útil.

En algún caso, las distonías resistentes a tratamiento médico han sido aliviadas con talatomía bilateral estereotáxica

Para los temblores son ocasionalmente eficaces drogas dopaminérgicas, no respondiendo a beta-bloqueadores. Para la espasticidad y disartria, además de las drogas usadas en la distonía, se ha usado el baclofeno, con relativo éxito