CADASIL07.jpg

CADASIL

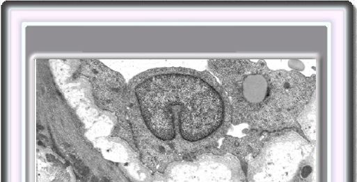
La biopsia de piel de los pacientes con CADASIL muestra en las microfotografías electrónicas una deformación de las células musculares lisas con infiltraciones de un material granuloso osmiofílico (GOM) lo que tiene un valor diagnóstico significativo

Actualmente solo es posible un tratamiento síntomático. Dado que la patología vascular pudiera ocasionar trombosis locales, se han ensayado los anticoagulantes y antiagregantes plaquetarios sin efectos positivos, e incluso, algunos pacientes han fallecido por hemorragias intracerebrales. La acetazolamida puede ayudar a los pacientes con migraña insufrible