ATLAS DE NEUROLOGIA

SÍNDROME DE AICARDI

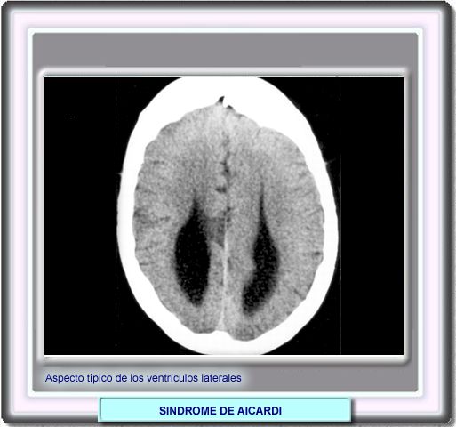
Como consecuencia de la agenesia total o parcial del cuerpo calloso, los ventriculos laterales toman un aspecto caracteristico de "cuernos"