|
SÍNDROME
DE AICARDI
|
![]() |
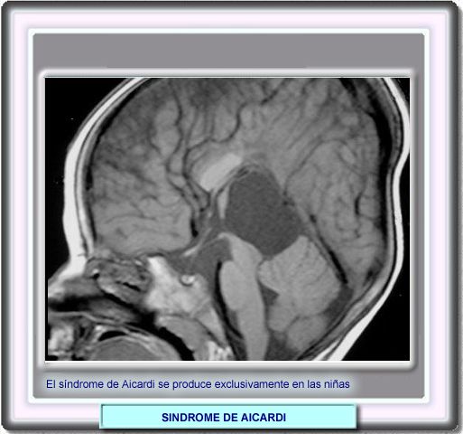
El síndrome de Aicardi es un desorden hereditario ligado al cromosoma X caracterizado por una tetrada de síntomas:
Es una enfermedad que se produce casi exclusivamente en las niñas debido a la elevada mortalidad embriónica de los varones. |
|
|
|
||

