x
ATLAS DE NEUROLOGIA

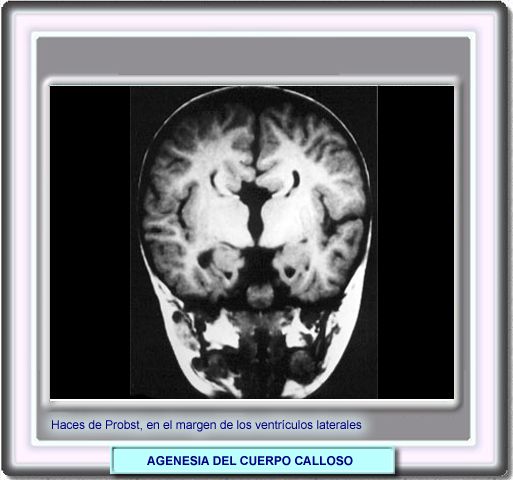
AGENESIA DEL CUERPO CALLOSO

Los haces de Probst son fascículos de fibras nerviosas que bordean los ventrículos laterales y que proceden de las fibras callosas que normalmente interconectan ambos hemosferios.