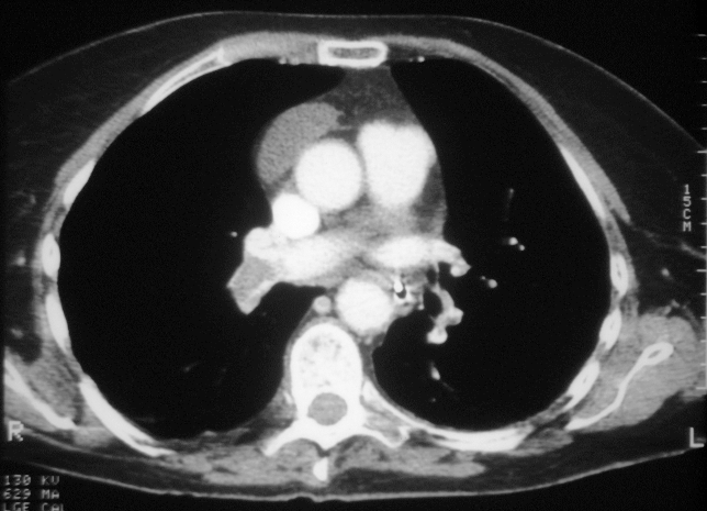
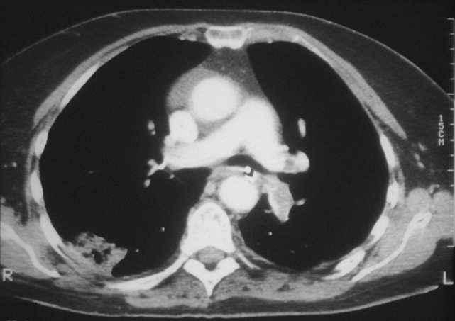
Cóagulos observados por Tomografía Computarizada
 

 

Volver a texto