La Edad Crítica de la Mujer

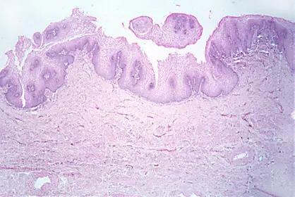
VAGINA DE UNA MUJER JOVEN

La vagina de la mujer joven se caracteriza por tener una gran cantidad de capas celulares muy espesas.

Volver a la p�gina anterior