La edad crítica de la mujer

Cáncer de mama

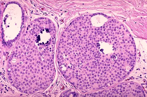
Carcinoma ductal de la mama uno de los muchos tipos de c�ncer de mama.


Volver a la página anterior