La edad crítica de la mujer

Cáncer de ovario

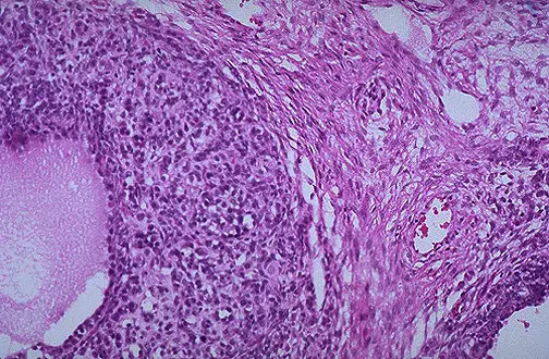
Tumor de las c�lulas de la granulosa. Este tipo de tumor deriva del estroma ov�rico y a menudo tienen un componente de tecoma.


Volver a la página anterior