La edad crítica de la mujer

Cáncer de endometrio

Este útero es de tamaño normal pero muestra una masa irregular en la parte superior del fundus que mostró ser tumoral en la biosia

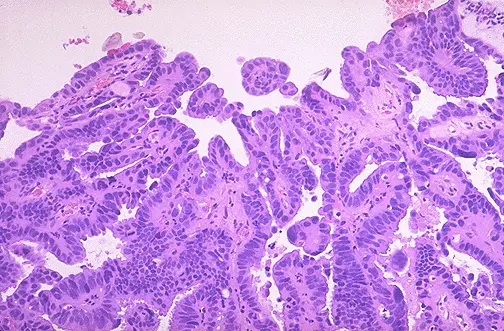
La microfotografía muestra un adenocarcinoma endometrial moderadamente differentiado, ya que se discierne claramente la estructura glandular


Volver a la página anterior