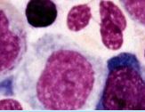
PROMEGALOBLASTO
Atlas de Hematologia

PROMEGALOBLASTO

Células de 19 a 27 m de diámetro, con un núcleo redondo o irregular, de color púrpura. La cromatina es fina y forma una malla. El citoplasma es azul oscuro, no granulado y muestra un halo perinuclear

Se observan en la anemias refractarias, la anemia congénita diseritropoyética, y en las deficiencias de ácido fólico y de vitamina B12