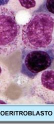
PROERITROBLASTO
Proeritroblasto
Normoblasto basófilo
Normoblasto policromático
Normoblasto picnótico u ortocromático
Plasmocito
Eosinófilo
Promielocito
Metamielocito neutrófilo