SERVICIOS A CLIENTES

ORTODONCIA

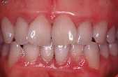
Los tratamientos ortod�nticos dentro de la periodoncia nos facilita el tratamiento integral de los pacientes , mejorando su autoestima y seguridad de si mismos, ya que la enfermedad periodontal no s�lo deterioralas enc�as y los dientes, sino se pierde belleza , est�tica y confort de las personas.

Los tratamientos de ortodoncia los realizamos en la fase de mantenimiento periodontal en un tiempo variable entre 6 meses y uno o dos a�os, utilizando aparatolog�a removible y fija como los Brackets de porcelana que son los m�s est�ticos para el paciente adulto.


SERVICIOS SERVICIOS
A CLIENTES