SERVICIOS A CLIENTES

IMPLANTES OSTEOINTEGRADOS

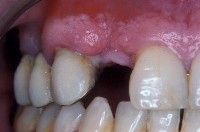
P�rdida de uno o varios dientes

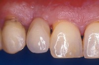
En los casos de la p�rdida de un diente �nico, su reposici�n mediante implante nos permite no tener que desgastar los dientes vecinos, como ser�a necesario en una pr�tesis convencional, as� como reponer las ra�z del diente, permitiendo as� que se pueda mantener el hueso remanente del diente perdido e impidiendo la atrofia del maxilar.
As� mismo, el implante asegura un perfecto ajuste y estabilidad de sus estructuras as� como una perfecta est�tica.

En el caso de la p�rdidad de varios dientes, nos permite el colocar una estructura fija en dicha zona, en vez de ser rehabilitado con un aparato removible que provocar�, a parte de lo antiest�tico de los ganchos de fijaci�n, fuerzas excesivas sobre dientes de apoyo y p�rdida del hueso remanente, evitando as� mismo el uso de aparatos con paladar de resina.


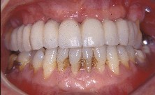
P�rdida de una arcada completa

En los casos de p�rdida total de los dientes de una arcada, nos permitir� colocar una estructura fija que evite la poca estabilidad que aportan las pr�tesis convencionales, adem�s de evitarnos futuros reajustes de las bases de resina, permitiendo al paciente una completa comodidad a la hora de tanto comer como de hablar, gran problema que acarrean las pr�tesis completas convencionales.

El uso de implantes, ha de ser una alternativa a la hora de rehabilitar a un paciente, teniendo en cuenta que la posibilidad de usarlos depender� de la cantidad y calidad del hueso del paciente, estado de salud general y el estado de su boca.

 


SERVICIOS SERVICIOS
A CLIENTES