ATLAS DE GINECOLOGIA
TUMOR FILODES

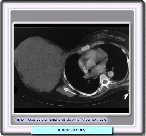
Aunque no se utiliza a menudo por sus elevados costes y las molestias que representa para la paciente, la TC muestra los tumores filodes como masas homogéneas bien delimitadas como en este caso, en el que el tumor ha alcanzado un tamaño > 30 cm.