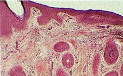
Conducto auditivo externo
Epitelio escamoso estratificado
Dermis
Conducto ceruminoso
Glándula ceruminosa
Arteria
Folículo piloso