![]() |
![]() |
![]() |
BOTRIOMICOSIS
|
|
|
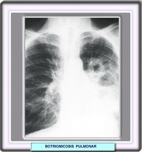
En un 30% de los casos, la botriomicosis cutánea suele ir acompañada de infecciones viscerales. Los órganos más afectados son el hígado, los riñones, la próstata, los intestinos y la tráquea. Recientemente, se ha descrito la botriomicosis pulmonar En su mayoría los pacientes afectados son pacientes que presentan algun otro problema subyacente. Algunos de los factores que se cree están implicados son la inmunodeficiencia celular, la diabetes mellitus, el tratamiento crónico con corticosteroides y la fibrosis cística. El tratamiento antibiótico dependerá de la naturaleza y sensibilidad de los gérmenes que se detecten. |
![]() |