ATLAS DE DERMATOLOGIA
Atlas dermatologia
ANATOMIA DE LA PIEL

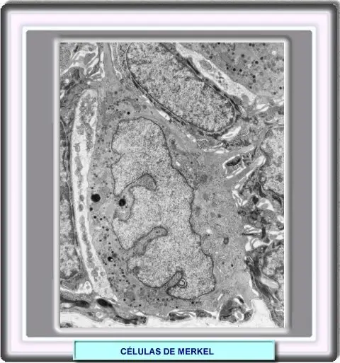
Las células de Merkel representan un tipo de células intraepiteliales de la piel y de la mucosa oral que han sido calificadas de paraneuronas. Las células de Merkel son difíciles de distinguir de otras células de la piel por microscopía óptica aunque son fácilmente discernibles por microscopía electrónica. Se encuentran sobre todo en las proximidades del estrato basal, concentradas cerca de los folículos capilares.

La función de las células de Merkel es objeto de controversias. La opinión más generalizada es que son células mecanoreceptoras ya que poseen unas microvellosidades que responden a la distorsión mecánica produciendo la liberación de neurotransmisores por parte de la célula. Se ha sugerido que la célula de Merkel liberaría un sustancia similar al factor de crecimiento neuronal que estimularía el crecimiento de las fibras nerviosas o que suministraria un factor que bloquearía las señales a las mismas

 

 

Página anterior
Subir un nivel Mapa de esta Web. El mejor sitio para comenzar
Página siguiente